Wisdom Tooth Removal
Adults normally have 32 teeth and wisdom teeth (3rd molars) are the last to come through at the back of the mouth. Normally there are 4 wisdom teeth, one in each side of the upper and lower jaw
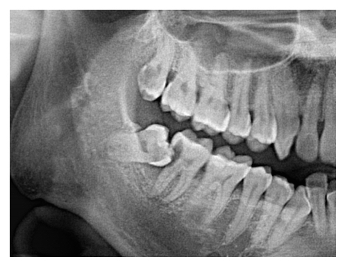
Impacted wisdom teeth
If the jaws are too small to accommodate all the teeth, there may not be enough space for the wisdom teeth to come through properly and they become impacted (stuck), often causing problems.
Reasons for the removal of wisdom teeth
- The most common reason is recurrent infection of the gum overlying a tooth that is part way through the gum (pericoronitis).
- Decay (caries) in the wisdom tooth, which your dentist cannot restore.
- Infection of the tooth (abscess) due to advanced dental decay.
- When the adjacent molar tooth is affected by gum (periodontal) disease or dental decay due to the impacted wisdom tooth.
- Progressive cystic (fluid filled sac) formation around the tooth.
- As part of other surgical procedures involving the jaw.
- There may be other less common reasons that your dentist will discuss with you.


Impacted wisdom tooth
The removal of wisdom teeth
- There is great variation in the difficulty of removing wisdom teeth.
- The procedure can be carried out under local anaesthesia (injection in the gum to numb the area), with or without intravenous sedation (injection in the arm or hand to reduce anxiety), or under general anaesthetic (completely asleep in a hospital).
- Your dentist will discuss with you which method is most appropriate.
- The degree of difficulty of the surgery, any underlying medical conditions and other personal circumstances will be taken into account choosing the method.
- The procedure can involve an incision (cut) in the gum close to the tooth.
- Sometimes some jaw bone around the tooth is removed with a drill and alsothe procedure can be made easier by sectioning (cutting up) the tooth itself into smaller pieces.
What can be expected after the operation?
- There is great variation in the pain and discomfort suffered by individuals and this also depends on how difficult the surgery is. The average recovery time is between 5-7 days.
- Swelling is common and tends to be maximum, on the 2nd and 3rd day after surgery reducing over about a week.
- Mouth opening is likely to be restricted and a semi- solid diet will be required over the first few days.
- Expect some pain from the operation site, which should be helped by pain killers.
- Bruising of the face and upper neck occasionally occurs.
Some possible complications
Removal of wisdom teeth is a very safe and common operation but there is some risk associated with most procedures:
- Most bleeding will have stopped shortly (within ½ hour) of the operation finishing. Blood stained saliva may be noticed for a day or two. More persistent bleeding may occur which should be dealt with by your dentist/hospital.
- Some times antibiotics are prescribed after the operation. Even if they have infection of a tooth socket occasionally occurs.
- When an adjacent tooth has a large filling or crown it is possible that this can be dislodged during surgery.
- The nerves which give sensation to the lower lip and chin and to the tongue are very close to the lower wisdom teeth and can be prone to bruising.
- If this happens numbness or a tingling sensation in the lip and chin, or tongue will be experienced.
- This is temporary in most cases, but in a small number recovery may not be complete. Very rarely continued pain may be felt from damaged nerves.
- Your surgeon may inform you of other complications, which are relevant to your case.
Please speak to your surgeon before your operation if you have any concerns about these risks.

Fig 1 : Pre-operation x-ray shows impacted wisdom tooth

Fig 2 : Pre-operation

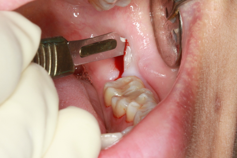
Fig 3 : Incision made to expose the wisdom tooth

Fig 4 : Impacted wisdom tooth exposed

Fig 5 : Wisdom tooth successfully removed from the socket

Fig 6 : Surgical wound closed with sutures

Fig 7 : Wisdom tooth fragments
