Periodontics (Gum Treatment)
Periodontal Disease
Periodontal (gum) diseases, including gingivitis and periodontitis, are serious infections that, left untreated, can lead to tooth loss. Periodontal disease is a chronic bacterial infection that affects the gums and bone supporting the teeth. Periodontal disease can affect one tooth or many teeth. It begins when the bacteria in plaque causes the gums to become inflamed.
Gingivitis
Gingivitis is the mildest form of periodontal disease. It causes the gums to become red, swollen, and bleed easily. There is usually little or no discomfort at this stage. Gingivitis is often caused by inadequate oral hygiene. Gingivitis is reversible with professional treatment and good oral home care.

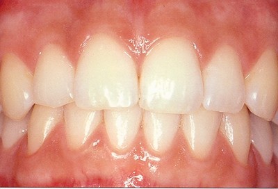
Healthy gum

Gingivitis
Periodontitis
Untreated gingivitis can advance to periodontitis. With time, plaque can spread and grow below the gum line. Toxins produced by the bacteria in plaque irritate the gums. The toxins stimulate a chronic inflammatory response in which the body in essence turns on itself, and the tissues and bone that support the teeth are broken down and destroyed. Gums separate from the teeth, forming pockets (spaces between the teeth and gums) that become infected. As the disease progresses, the pockets deepen and more gum tissue and bone are destroyed. Often, this destructive process has very mild symptoms. Eventually, teeth can become loose and may have to be removed.

Advanced periodontitis

Bone loss in different periodontitis stages
Signs of Peridontal Disease
Periodontal disease is often silent, meaning symptoms may not appear until an advanced stage of the disease. However, warning signs of periodontal disease include the following:
- Red, swollen or tender gums or other pain in your mouth
- Bleeding while brushing, flossing, or eating hard food
- Gums that are receding or pulling away from the teeth, causing the teeth to look longer than before
- Loose or separating teeth
- Pus between your gums and teeth
- Sores in your mouth
- Persistent bad breath
- A change in the way your teeth fit together when you bite
- A change in the fit of partial dentures
The American Academy of Periodontology’s risk assessment test will help you see if you are at risk for having or developing periodontal (gum) disease. Millions of people don’t know they have this serious infection that can lead to tooth loss if not treated.
Procedures dentist/periodontist use to treat gum disease
- Non Surgical treatments
- Periodontal Surgery
- Dental Implants
Following are some of the procedures that dentist/periodontist use to treat patients diagnosed with a periodontal (gum) disease.
Non-Surgical Treatments
American Academy of Periodontology treatment guidelines stress that periodontal health should be achieved in the least invasive and most cost-effective manner. This is often accomplished through non-surgical periodontal treatment, including scaling and root planing (a careful cleaning of the root surfaces to remove plaque and calculus [tartar] from deep periodontal pockets and to smooth the tooth root to remove bacterial toxins), followed by adjunctive therapy such as local delivery antimicrobials and host modulation, as needed on a case-by-case basis.
Most periodontists would agree that after scaling and root planing, many patients do not require any further active treatment, including surgical therapy. However, the majority of patients will require ongoing maintenance therapy to sustain health. Non-surgical therapy does have its limitations, however, and when it does not achieve periodontal health, surgery may be indicated to restore periodontal anatomy damaged by periodontal diseases and to facilitate oral hygiene practices.
Periodontal Surgery
If you’re diagnosed with periodontal disease, your dentist/periodontist may recommend periodontal surgery. Periodontal surgery is necessary when your dentist/periodontist determines that the tissue around your teeth is unhealthy and cannot be repaired with non-surgical treatment. Following are the four types of surgical treatments most commonly prescribed:
- Pocket Reduction Procedures
- Regenerative Procedures
- Crown Lengthening
- Soft Tissue Grafts
Dental Implants
If you’ve already lost a tooth to periodontal disease or other reasons, you may be interested in dental implants—the permanent tooth replacement option.
