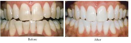
Teeth Whitening

Introduction
Teeth Whitening Procedures Can Help:
- Lighten coffee-stained teeth.
- Remove cigarette and tobacco discolorations.
- Correct yellowing in teeth due to aging.
The following are two options for whitening your teeth.
In-Office Power Teeth Whitening (Zoom! Advanced Power)
- A teeth whitening gel containing a high concentration of hydrogen peroxide is applied to the teeth.
- In-office teeth whitening can often be accomplished in one visit to the dentist.
- Home teeth whitening may be recommended to enhance the effects.
- To find out more about In Office Whitening System, please click here
At-Home Dentist-Supervised Teeth Whitening
- The patient wears a custom-fitted mouth tray containing a teeth whitening gel for a few hours each day or night.
- The trays can be adjusted to lighten individual teeth.
- The average patient will wear mouth trays for one to two weeks. More severe stains can often be improved with extended use of a home teeth whitening system.
- To find out more about At Home Dentist-Supervised Teeth Whitening System, please click here
Dentist Supervised Treatments vs. Over-the-Counter Kits
Numerous over-the-counter teeth whitening products are now available, but dentist-supervised teeth whitening remains the safest and most effective method for brightening your smile. Here are some key reasons why you should always consult with your dentist.
Proper Fitting Mouth Trays
Often, over-the-counter teeth whitening trays do not fit the patient’s mouth properly. Improperly fitting trays may cause the teeth whitening gel to leak and can result in gum irritation and a less effective treatment.
More Comfortable Solutions
With today’s dentist-supervised systems, even patients with sensitive teeth can undergo teeth whitening treatment.
Be sure to consult with your dentist to find out which teeth whitening treatment is best for you. Teeth whitening remains one of the most economical ways to enhance your smile.



